Бериллиоз (или бериллиевая болезнь лёгких) - это специфическое воспалительное заболевание тканей лёгких (из группы пневмокониозов), которое возникает вследствие попадания в лёгкие испарений или производственной пыли, содержащих частицы бериллия. Данное заболевание относится к так называемым профессиональным заболеваниям, то есть ему подвержены в основном сотрудники заводов и фабрик, работающих с бериллием. Заболевают бериллиозом не все контактирующие с данным металлом, а лишь те, кто обладает повышенной чувствительностью к нему (около 1-2% людей).

Причины возникновения
Бериллиевая болезнь лёгких относится к профессиональным заболеваниям и возникает вследствие проникновения частичек бериллия в лёгкие вместе с вдыхаемым паром или пылью при длительном контакте с данным металлом или долгом нахождении в производственном помещении, где происходит его обработка. При попадании частиц бериллия в лёгкие запускается цепочка иммунных реакций организма, ведущая к образованию мононуклеарных инфильтратов и неказеозных гранулём в месте оседания бериллия. К группе риска по бериллиевой болезни относятся работники следующих отраслей:
- металлургия (производство сплавов);
- горная добыча бериллия;
- производство электроники;
- ядерное вооружение;
- авиация;
- утилизация и переработка электроники;
- автомобилестроение;
- косметическая промышленность.
Симптомы бериллиоза

Диагностика
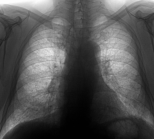
Диагностика бериллиоза осуществляется на основании анамнеза, объективного обследования, анализа крови и рентгенологического исследования лёгких. При осмотре пациента врач обращает внимание на наличие специфических проявлений дыхательной недостаточности (одышка, деформация пальцев). При проведении перкуторного обследования - выслушивается коробочный звук, который указывает на наличие эмфиземы, и ограниченность подвижности легочного края, а в нижних отделах слышны мелкопузырчатые хрипы. При проведении биохимического анализа крови можно обнаружить повышение уровня белка в сыворотке (в первую очередь за счет гипергаммаглобулинемии). На рентгене заметны диффузные интерстициальные, линейно-сетчатые или мелкопятнистые образования в лёгких.
Виды заболевания
По типу течения выделяют два вида бериллиевой болезни:
- хронический бериллиоз;
- острый бериллиоз.
Также данное заболевание классифицируется согласно степени выраженности изменений в лёгких. Выделяют три стадии бериллиевой болезни:
- I стадия характеризуется преимущественно интерстициальными изменениями в лёгких (на увеличенной рентгенограмме заметны немногочисленные гранулёмы);
- II стадия - более выраженные изменения (многочисленные гранулёматозные тени);
- III стадия - увеличение количества и размеров гранулём, выраженная деформация сосудисто-бронхиального рисунка, а также образование крупнобуллёзной эритемы.
Действия пациента
После длительного контакта с бериллием настоятельно рекомендуется проконсультироваться с врачом и провести рентгенологическое обследование.
Лечение бериллиоза
При лечении бериллиоза применяют глюкокортикостероидные препараты, поскольку они позволяют устранить симптоматику и благоприятно влияют на оксигенацию организма. В некоторых случаях при хроническом бериллиозе может понадобиться пожизненная глюкокортикостероидная терапия. При тяжёлой дыхательной недостаточности может понадобиться проведение искусственной вентиляции лёгких. Также в реабилитационный период показана оксигенотерапия.
Осложнения
При тяжёлых формах бериллиоза может развиться сильная дыхательная и сердечная недостаточность, вплоть до летального исхода.
Профилактика бериллиоза
В качестве профилактики бериллиевой болезни рекомендуется избегать длительных контактов с данным металлом. Рабочим, чья деятельность связана с добычей и обработкой данного вещества, рекомендуется соблюдать технику безопасности и регулярно проходить медицинское обследование.