Пиоторакс или, иначе говоря, эмпиема плевры - это воспалительный процесс в плевральной полости, сопровождающийся обильным скоплением в ней гноя. Как правило, данное заболевание является осложнением гнойных процессов в перикарде или легких, однако в редких случаях может возникать самостоятельно.

Причины возникновения
Причиной возникновения пиоторакса в 90% случаев является осложнение уже имеющегося в грудной клетке гнойно-воспалительного процесса и его переход на плевральные лепестки. Обычно в таких случаях первичным заболеванием является пневмония, абсцесс лёгкого, туберкулёз, медиастинит, перикардит, остеомиелит рёбер, поддиафрагмальный абсцесс и гангрена лёгкого. Существует также и вторая причина возникновения эмпиемы плевры - проникновение инфекции непосредственно в плевральную полость, например, вследствие несоблюдения стерильности во время хирургической операции или получения серьёзной травмы грудной клетки. Возбудителями воспалительного процесса в данном случае могут выступать различные микроорганизмы (включая стафилококки, пневмококки, факультативные и облигатные анаэробы).
Симптомы пиоторакса

Клиническое проявление эмпиемы плевры, как правило, начинается с повышения температуры тела (обычно до 39оС и более), озноба и обильного потоотделения. Затем появляется одышка, развивается тахикардия и акроцианоз. Также для пиоторакса характерны симптомы общей интоксикации - сильная головная боль, общая слабость, отсутствие аппетита, апатия. Возникает сильная боль в груди колющего характера на поражённой стороне. При совершении дыхательных движений, как правило, боль усиливается. Для эмпиемы плевры характерен кашель. При закрытой форме эмпиемы кашель носит сухой характер, а при наличии бронхоплеврального сообщения (фистулы) - влажный (с отделением большого количества гнойной мокроты). Кроме того, у пациентов с пиотораксом наблюдается потеря массы тела и периферические отёки. В некоторых случаях, вследствие диспротеинемии, возможно развитие дистрофии миокарда и печени, а также полиорганная недостаточность.
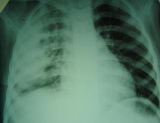
Диагностика
Диагностика пиоторакса осуществляется путём проведения комплексного физикального, инструментального, а также лабораторного обследования. Осмотр пациента помогает выявить отставание одной половины грудной клетки при дыхании (с поражённой стороны), а также выбухание и расширение межреберий. На рентгенограмме органов грудной клетки обнаруживается интенсивное затемнение. Для определения размеров и формы эмпиемы плевры выполняется плеврография с водорастворимым контрастом, который вводится в плевральную полость. В некоторых случаях также применяется ультразвуковое обследование. Для окончательного подтверждения диагноза пиоторакса проводится пункция плевральной полости с последующим микроскопическим и бактериологическим исследованием плеврального выпота.

Классификация
В зависимости от характера экссудата выделяют следующие виды пиоторакса:
- гнойная эмпиема плевры;
- гнилостная эмпиема плевры;
- специфическая эмпиема плевры;
- смешанная эмпиема плевры.
Также пиоторакс бывает односторонним и двухсторонним. Кроме того, в зависимости от распространённости различают:
- тотальный пиоторакс;
- субтотальный пиоторакс;
- ограниченный пиоторакс (верхушечный, пристеночный, наддиафрагмальный, междолевой или парамедиастинальный).
При наличии свищей говорят об открытом пиотораксе, а в случае их отсутствия - о закрытом.
По характеру течения пиоторакс бывает острым и хроническим.
Действия пациента
При подозрении на пиоторакс рекомендуется обратиться к врачу сразу же после обнаружения симптомов.
Лечение пиоторакса
Первоочередной задачей при лечении эмпиемы плевры является опорожнение плевральной полости от гноя. С этой целью проводится дренирование плевральной полости, плевральный лаваж или вакуумная аспирация. Кроме того, назначается применение антибиотиков как местно, так и системно. Обычно применяются препараты группы цефалоспоринов, карбапенемов, фторхинолонов или аминогликозидов. При необходимости может быть назначена дезинтоксикационная и витаминная терапия. Через некоторое время показано проведение дыхательной гимнастики, ЛФК (лечебной физкультуры) и массаж грудной клетки.
В случае перехода пиоторакса в хроническую форму показано хирургическое вмешательство - торакостомия, плевроэктомия (с декортикацией лёгкого) или резекция лёгкого.
Осложнения
Возможным осложнением при эмпиеме плевры является появление бронхоплевральных свищей. Также возможно развитие септикопиемии, амилоидоза, вторичных бронхоэктазов и полиорганной недостаточности.
Профилактика пиоторакса
В качестве профилактики эмпиемы плевры рекомендуется своевременно осуществлять лечение воспалительных заболеваний органов грудной клетки и не допускать распространения воспаления.