
Причины возникновения
Пролапс митрального клапана может встречаться у людей различного возраста, однако, у детей чаще в сравнении с взрослыми, а у женщин чаще мужчин. Данная патология может возникать по разным причинам:
·Из-за изменения анатомической структуры створок, хорд и папиллярных мышц, фиброзных створок;
·Из-за диффузных или локальных нарушений сократимости мышечной стенки левого желудочка.
Все вышеперечисленные нарушения также могут иметь разную этиологию. Идиопатический (первичный) пролапс обусловлен генетически, то есть возникает вследствие врождённой патологии фибриллогенеза либо миксоматозной дегенерации створок. Вторичный же пролапс митрального клапана всегда формируется как следствие другого заболевания. К причинам вторичного пролапса можно отнести:
·Наследственные заболевания соединительной ткани (например, синдром Марфана, эластическая псевдоксантома, синдром Элерса-Данлоу);
·Нарушение кровоснабжения папиллярных мышц;
·Токсическое воздействие на плод в последнем триместре внутриутробного развития;
·Гипертрофическая обструктивная кардиомиопатия;
·Дефект межпредсердной перегородки;
·Вегетососудистая дистония;
·Травмы грудной клетки и т.п.

Симптомы
Часто пролапс митрального клапана протекает бессимптомно, особенно врождённый и с незначительной регургитацией. Первичный пролапс двустворчатого клапана часто сочетается с высоким ростом, длинными конечностями, повышенной эластичностью кожи, гипермобильностью суставов, плохим зрением и т.п. Самые распространённые симптомы при данной патологии - это:
·Жалобы на «перебои в работе сердца», нарушение ритмичности сердечных сокращений, периодичные «замирания» сердца;
·Боль в области сердца, зачастую не связанная с какими-либо физическими нагрузками, но возникающую после психоэмоциональных потрясений. Такая боль может длиться от нескольких секунд до нескольких часов, не купируется нитроглицерином. Характер боли сильно зависит от первичного заболевания (если пролапс вторичен);
·Быстрая утомляемость, склонность к обморокам, головокружение, общая слабость и плохая переносимость физических нагрузок;
·Ощущение нехватки воздуха, одышка;
·Вегетативные кризы, панические атаки;
Диагностика
Среди методов инструментальной диагностики следует отметить следующие:
·ЭКГ: могут регистрироваться нарушения сердечного ритма (экстрасистолы, брадиаритмия, пароксизмальная тахикардия, нарушение атриовентрикулярной проводимости), неспецифические изменения (косовосходящий или косонисходящий интервал S-T ниже изолинии, уплощённый или отрицательный, несимметричный зубец Т);
·Холтеровское мониторирование - контроль ЭКГ в течение суток, которое позволяет с большей вероятностью зафиксировать изменения ритма сердечной деятельности и сопоставить их с факторами, вызвавшими сбой;
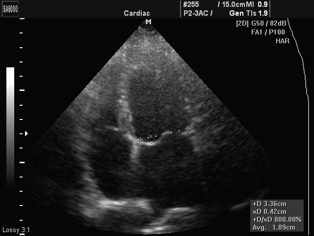
·Эхо-КГ - наиболее информативный метод при данной патологии. Он позволяет выявить провисание створок клапана, обнаружить гипертрофию левых отделов сердца, утолщение створок, удлинение сухожильных хорд, расширение митрального кольца, а также выявить косвенные признаки пролапса двустворчатого клапана (аневризму межпредсердной перегородки, расширение корня аорты);
·Рентгенография грудной клетки позволяет заподозрить данную патологию по таким признакам: конфигурация сердца напоминает «висячую каплю», умеренное выпячивание по левому контуру сердца дуги легочной артерии.

Виды заболевания
Пролапс митрального клапана может быть первичным и вторичным (приобретенным), как было указано ранее. Также данное заболевание по УЗИ-признакам имеет три степени:
1 степень - провисание митрального клапана в полость левого предсердия менее 5 мм;
2 степень - пролабирование створок клапана до 10 мм;
3 степень - провисание двустворчатого клапана более 10 мм.
Действия пациента
При появлении признаков данного заболевания необходимо срочно обратиться к кардиологу для дальнейшей диагностики и лечения.
Лечение
При отсутствии активных жалоб и признаков недостаточности митрального клапана необходимости в лечении нет. Достаточно периодически обследоваться (ежегодно) и вести здоровый образ жизни. Однако, при появлении активных жалоб и признаков недостаточности двустворчатого клапана необходима специальная терапия. При врождённом пролапсе назначают адреноблокаторы (для купирования и профилактики тахикардии, аритмий), магний содержащие препараты, витамины (PP, B1, B2), рациональная психотерапия. Хирургическое вмешательство применимо при тяжёлой степени регургитации (3-4 ст.). Лечение приобретенного пролапса двустворчатого клапана основано на лечении первичного заболевания и зависит от тяжести самого пролапса.
Осложнения
Наиболее частое (до 80%) осложнение данного заболевания - различные нарушения сердечного ритма. Также это могут быть митральная недостаточность, инфекционный миокардит, неврологические осложнения (ишемический инсульт, цереброваскулярная патология), отрыв сухожильных хорд, внезапная коронарная смерть.
Профилактика
Рекомендуется тщательное соблюдение гигиены ротовой полости (санация хронических очагов инфекции), отказ от курения, алкоголя, крепкого чая и кофе, соблюдение нормального режима труда и отдыха, умеренные физические нагрузки.