Вальгусная деформация (hallux valgus) стоп характеризуется искривлением плюсне-фалангового сустава первого пальца и сопровождается деформацией остальных пальцев стопы.

Причины возникновения
Основными причинами развития вальгусной деформации стоп является:
- наследственный фактор (данное заболевание встречалось у близких родственников);
- эндокринные нарушения в организме;
- остеопороз.
Заболевание чаще встречается у женщин, чем у мужчин, в соотношении 8:2. Поперечное плоскостопие связано со слабостью соединительной и костной ткани стопы. Также развитию такого вида плоскостопия, способствуют ношение неудобной и тесной обуви, обуви на высоком каблуке, что приводит к неравномерному распределению нагрузки на ногу, в результате возникает деформация передней части стопы и развивается артроз сустава большого пальца.
Симптомы вальгусной деформации
К основным симптомам вальгусной деформации стопы принадлежат:
- видимое отклонение большого пальца стопы наружу;
- постепенное увеличение размеров «косточки» на ноге;
- характерная молоткообразная форма остальных пальцев стоп;
- болевые ощущения в суставах стоп;
- быстрая утомляемость ног при движении;
- проблемы в подборе обуви.

Диагностика
Для назначения адекватного лечения и в целях предотвращения прогрессирования болезни, необходимо проведение полного обследование пациента, для определения истинных причин возникновения болезни и определения стадии процесса.
Основные методы диагностики:
- очная консультация ортопеда-травматолога;
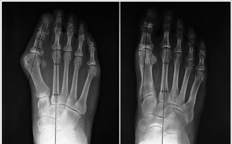
- рентгенография стоп в 3-х проекциях - в целях определения степени деформации стопы, а также выявления сопутствующих патологий;
- плантография - для определения плоскостопия (отпечатки стоп);
- дифференциальная диагностика - для исключения заболеваний с похожими симптомами (артрит, подагра, деформирующий остеоартроз).

Действия пациента
Пациенту необходимо обратится к профильному специалисту для проведения необходимых обследований и назначения лечения в целях предупреждения нежелательных осложнений.
Лечение вальгусной деформации
Лечением данного заболевания занимается врач ортопед-травматолог, обращаться к врачу следует при первых симптомах заболевания.
Консервативное лечение вальгусной деформации стопы принадлежит к нехирургическим методам. К нему относятся:
- ношение ортопедических стелек (супинаторов) и ночных шин;
- применение межпальцевых прокладок;
-, физиотерапевтическое лечение;
- лечебная гимнастика пальцев ног и стопы;
- введение внутрисуставных препаратов гормонального происхождения для снятия воспаления.
Применение консервативного лечения не приводит к полному выздоровлению и более эффективно на ранних стадиях заболевания. При запущенных формах заболевания показано оперативное лечение. Существует более сотни методик хирургического лечения вальгусной деформации стопы. Основные методики хирургического лечения:
- экзостэктомия - хирургический метод, при котором происходит иссечение небольшого участка головки плюсневой кости;
- остеотомия - метод, при котором у больного удаляется часть фаланги пальца или часть плюсневой кости;
- артродез - операция, при которой сустав большого пальца стопы фиксируется в неподвижном состоянии;
- резекционная артропластика - хирургическое удаление небольшой части плюснефалангового сустава со стороны плюсневой кости;
- оперативное вмешательство с целью восстановления связок вокруг плюснефалангового сустава большого пальца стопы;
- операция с заменой пораженного сустава на имплант.
После проведения хирургического лечения, пациент сможет ходить, полностью опираясь на плюсну, начиная с 3 недели после операции. Восстановительный период составляет порядка 2-3 месяцев от даты проведения оперативного лечения.
Осложнения
В случае, если деформация была незначительной, а лечение проведено правильно и своевременно, внешний вид и функция сустава могут восстановиться без последствий. В запущенных формах вальгусной деформации, боли могут сохраняться даже после оперативного лечения.
При отсутствии своевременного и корректного лечения, суставы стопы деформируются, что может привести к хроническому бурситу. Как осложнение заболевания может возникнуть болезнь Дейчлендера, которая характеризируется перестройкой структуры плюсневых костей стопы.
Профилактика вальгусной деформации
В целях профилактики рекомендуется:
- регулярный осмотр уортопеда-травматолога для своевременного выявления плоскостопия;
- ношение удобной обуви (без шпилек, из натуральных материалов, обиви которая не давит, с высотой каблука не более 7 см);
- регулярное ношение ортопедических стелек;
- соблюдения режима труда и отдыха, если работа человека связана с дополнительными нагрузками на нижние конечности.