
В народе это заболевание больше известно, как «косточки или шишки» на ногах. Причем оно считается одним из наиболее распространенных, при этом внешне это выглядит, таким образом, словно большой палец растет с отклонением внутрь стопы. Клинические проявления – это боль, невозможность носить обычную обувь, поскольку у основания большого пальца образуется «косточка»; значительно затрудняют передвижение натоптыши и мозоли, которые «вырастают» на подошве.

Стоит сразу подчеркнуть, что данный вид патологии несет на себе проблему не только в косметическом плане – стопа выглядит достаточно уродливо, - но и в не меньшей степени – ортопедическую. Ведь одним лишь отклонением большого пальца данное заболевание не ограничивается, это еще и целый ряд таких изменений, которые носят патологический характер и затрагивают все структурные отделы стопы:
- артроз деформирующий плюснефаланговых суставов;
- бурсит хронический;
- плюсневые кости – экзост их головок, а также внутреннее или варусное отклонение;
- плоскостопие любого вида, как поперечное, так и комбинированное.
Можно выделить несколько причин возникновения Hallux Valgus, хотя врачи не пришли еще к единому мнению о природе этого явления:
- наличие у пациента плоскостопия;
- генетическая предрасположенность;
- нарушения эндокринной системы;
- остеопороз.
Кроме того, к развитию деформаций подобного рода и их развитию, приводит врожденное ослабление костной и соединительной тканей, что вызывает в большинстве случаев плоскостопие. Вальгусная деформация, её развитие может быть связано с неправильно подобранной обувью, в первую очередь – узкие носки и высокие каблуки. Обувь такого типа приводит к неравномерности при распределении нагрузки: в большей степени нагрузка приходится на стопу в её переднем отделе, что со временем вызывает его деформацию и, как следствие, развитие артроза сустава на большом пальце.
При самых первых признаках подобной деформации следует немедленно обратиться в врачу-ортопеду.
Выбрать правильное лечение и не допустить значительного прогрессирования заболевания позволит самое полное и верно проведенное обследование больного. Это позволит на самых ранних стадиях определить истинные причины, которые привели к возникновению заболевания и, определить на какой стадии находится процесс. После этого будет принято решение, какое вмешательство и на каких участках стопы следует применить, с целью максимально полного избавления пациента от заболевания.

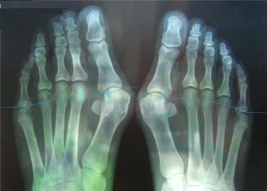
Уточнить диагноз позволит рентген, который проводят в 3-х проекциях. Это поможет определить уровень деформации и наличие или полное отсутствие таких сопровождающих патологий:
- воспаление суставов (артритов);
- киста и воспаление надкостницы;
- некрозы или остеопороз и многих других.
Вальгусная деформация большого пальца стопы, для её лечения подойдут, на начальном этапе такие приспособления, как ортопедические стельки, супинаторы, межпальцевые валики из силикона, корректоры для пальцев, стяжки, вальгусная шина и т.п.. Отличный эффект дают теплые ванночки, массаж ног и комплекс физиотерапии.
Однако стоит отметить, что все эти методы, как впрочем и «народные», в виде компрессов, прикладывания капустного листа или сеточки из йода, дадут лишь кратковременный эффект – снизятся болевые ощущения и частично убирается воспалительный процесс в области косточки. Однако кардинально решить основную проблему – исправить имеющую место быть деформацию сустава – они не в состоянии.
В случае такой необходимости доктор может назначить оперативное вмешательство, которое позволит провести коррекцию имеющей место быть деформации. Как результат – существенное улучшение состояния и в эстетическом плане тоже.
И если самые первые операции, при которых удаляли «косточки» на ногах можно было назвать варварскими – часть головки кости просто спиливалась, то несколько позже был предложен метод, согласно которого головка плюсневой кости удалялась полностью. Как результат: теряется связь большого пальца и стопы, после чего он держится исключительно на мягких тканях. Несмотря на то, что пациент сможет в дальнейшем ходить, деформация не только не исправляется, но становится в последствие еще больше.
Если вести речь о современной ортопедии, то на сегодняшний день разработано свыше 300 способов и вариантов оперативного лечения.
Одним из наиболее популярных можно назвать способ коррекции 1-го пальца, с минимальным травматизмом последнего. В этом случае не применяют гипс и металлоконструкции- достаточно просто использовать вальгусную шину. Суть метода заключается в коррекции поперечного свода самой стопы, при этом изменяют угол между её костями. Это позволяет максимально естественно перераспределить тянущий момент связок (изменившийся вследствие заболевания). Огромным преимуществом данного метода можно назвать превосходный эффект в косметическом плане.

Ведя разговор о суставах, нельзя не упомянуть о таком достаточно серьезном заболевании, как бурсит. Именно так называется воспаление любой сумки, которая располагается вокруг всех суставов и отделяют кости от сухожилий. Данное заболевание сопровождается появлением отеков в районе воспаления и сильной болью. В зависимости от места возникновения, определяется и само название – бурсит локтевого, плечевого, коленного и т.д., суставов.
Можно выделить следующие факторы, которые приводят к данному заболеванию – любые перегрузки суставов и их заболевания.
Нельзя не отметить, такое важное обстоятельство, как – первоначальное появление бурсита может пройти без лечения в течение пары недель, однако повторное появление требует правильно организованного лечения.




