Абсцесс легкого - очаг воспаление легочной ткани с ее распадом и образованием гнойной полости. Данная патология развивается, как правило, на фоне инфекционного поражения легких. Развитие воспалительного процесса может привести к закупорке бронхов, что ведет к ухудшению оттока мокроты с дальнейшей гибелью и распадом пораженного участка легкого. Так образуются гнойные массы, которые отделяются от остальных тканей капсулой. Спустя некоторое время абсцесс прорывается, и гнойное содержимое выходит в бронхи и человек может откашляться. После этого полость абсцесса сжимается и образуется рубец или уплотненная ткань.
Причины возникновения
Абсцесс легкого представляет собой инфекционный процесс, который вызывается бактериями или грибками. Чаще всего причиной данной патологии являются бактероиды, золотистый стафилококк, клебсиелла. Стрептококк, пневмококк, синегнойная палочка, а также смешанная патогенная флора. Микроорганизмы могут попадать в легкие через бронхи или же с током крови из уже имеющихся очагов инфекции.

Как правило, абсцессы легкого возникают в качестве осложнений пневмонии, при закупорках бронхов, при попадании в дыхательные пути желудочного содержимого, а также на фоне сепсиса.
Предрасполагающими факторами к развитию абсцесса легкого могут быть курение, переохлаждение, чрезмерное употребление алкогольных напитков, нарушения в работе иммунной системы, а также наличие хронических заболеваний дыхательных органов.
Симптомы абсцесса легкого
До прорыва абсцесса у больного отмечается высокая температура тела, озноб, повышенная потливость, одышка, кашель, а также боль в грудной клетке. Из общих симптомов возможно снижение аппетита, общая слабость и головные боли.
После того, как абсцесс прорывается, у больного начинает беспокоить кашель с обильным выделением мокроты. Мокрота окрашена в темный цвет и имеет неприятный запах. На этом этапе температура тела снижается до нормальных показателей, а общее состояние больного улучшается.
Диагностика
Изначально проводится сбор анамнеза и общий осмотр больного. При анализе крови обнаруживаются признаки воспаления, а именно - увеличение количества лейкоцитов и СОЭ. При биохимическом анализе крови обнаруживается снижение уровня общего белка и альбуминов, увеличение С-реактивного белка и гамма-глобулинов. Проводится бактериологический анализ мокроты с дальнейшим определением чувствительности микроорганизмов к антибиотикам.
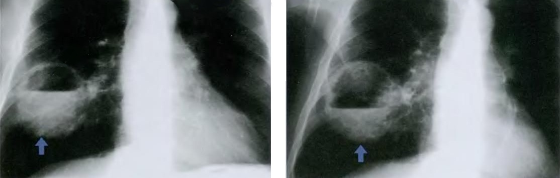
Из инструментальных методов диагностики может проводиться рентгенография органов грудной клетки, компьютерная томография и фибробронхоскопия.

Классификация
В зависимости от причин возникновения абсцесс легкого может быть первичным и вторичным. Первичный абсцесс развивается при травматических повреждениях легкого, а вторичный - на фоне какой-нибудь патологии дыхательных путей.
По локализации патологического процесса выделяют центральный и периферический абсцесс легкого.
По течению абсцесс легкого может быть острым (до 6 недель) и хроническим (более 6 недель). Хроническая форма обычно характеризуется сменой периодов ремиссии и обострения. По тяжести течения различают легкую, среднетяжелую и тяжелую форму заболевания.
Действия пациента
Появление симптомов абсцесса легкого (особенно на фоне заболевания дыхательной системы) требуют срочного обращения к врачу-терапевту.
Лечение абсцесса легкого
Для удаления гнойной мокроты может проводиться постуральный дренаж, вибрационный массаж грудной клетки, специальная дыхательная гимнастика или санационная бронхоскопия.

Медикаментозная терапия заболевания включает в себя применение фторхинолонов, сульфаниламидных лекарственных препаратов (бисептол), антибиотиков, антисептических препаратов, муколитических средств. В лечении абсцесса легкого также могут применяться иммуномодуляторы, дезинтоксикационные средства и кислород.
При необходимости проводится хирургическое лечение:
- пункция абсцесса;
- торакоцентез и дренирование абсцесса;
- удаление части легкого (или целого легкого).
Осложнения
Абсцесс легкого может давать такие осложнения:
- переход в хроническую форму;
- пиопневмоторакс;
- дыхательная недостаточность;
- эмпиема легких;
- дальнейшее распространение гнойного процесса на здоровое легкое;
- образование бронхоэктазов;
- легочное кровотечение;
- септикопиемия.
Профилактика абсцесса легкого
Основной профилактической мерой в отношении абсцесса легкого является своевременное и адекватное лечение заболеваний дыхательной системы.
