Рак печени - злокачественные новообразования печени, исходящие из эпителиальных и неэпителиальных структур органа.

Причины возникновения
В большинстве случаев рак печени напрямую ассоциирован с наличием у пациентов хронического вирусного гепатита В и С - гепатоцеллюлярная карцинома развивается у 80% лиц с вирусным поражением печени в течение 20 лет.
К факторам повышенного риска рака печени относится цирроз любой этиологии, гемохроматоз, алкогольная болезнь печени, лекарственный гепатит, сердечная недостаточность, паразитарные инфекции (описторхоз, амебиаз, шистосомотоз), желчнокаменная болезнь, сифилис и др.
Потенциальными канцерогенами являются афлатоксин В1, вырабатываемый плесневыми грибками аспергиллами, промышленные химикаты (нитрозамины, тетрахлористый углерод, хлорсодержащие пестициды, мышьяк, хлорид винила и др.), фармакологические препараты (торотраст, анаболические стероиды).
Симптомы рака печени
На ранних этапах рак печени характеризуется беспричинной слабостью, утомляемостью, снижением аппетита и потерей веса, тяжестью в подреберье и эпигастрии. Развиваются диспепсические явления: тошнота, рвота, склонность к запорам или поносам. Появление болей в области печени связано с ростом опухоли, растяжением печеночной капсулы, вторичной воспалительной реакцией. Печень вскоре увеличивается в размерах, приобретает бугристость и деревянистую плотность; через брюшную стенку иногда пальпируется опухолевый узел. Нарушение желчеотведения при раке печени приводит к развитию обтурационной желтухи, кожного зуда, окрашиванию кала в светлый цвет, а мочи - в темный.

В дальнейшем появляются и нарастают такие симптомы рака печени, как анемия, асцит, возникают телеангиэктазии на коже, геморрагический синдром (неоднократно повторяющиеся желудочно-кишечные и носовые кровотечения). В поздних стадиях рака печени отмечается постоянная, устойчивая к терапии, лихорадка с ознобами. При спонтанном или травматическом разрыве опухоли возникает кровотечение в брюшную полость или перитонит.
Диагностика
Первоначальный диагноз рака печени может быть заподозрен при анализе объективных данных (наличии желтухи, болей и пальпируемого образования в подреберье, гепатомегалии, деформации живота, выраженной подкожной сосудистой сети и др.).
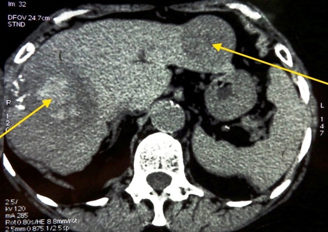
Первичным методом инструментальной диагностики рака печени в большинстве случаев служит УЗИ органов брюшной полости (печени). УЗ-сканирование позволяет выявить очаговые поражения печени, предположить их характер (первичный, метастатический), определить размеры. В ряде случаев УЗИ используется для проведения прицельной чрескожной биопсии печени и установления морфологического диагноза. Уточнение полученных при эхографии сведений производится с помощью КТ или ЯМРТ.

Виды заболевания
В международной ТNМ-классификации выделяют следующие стадии первичного рака печени:
T0 - первичный рак печени не определяется
T1 - солитарное образование до 2 см в диаметре; прорастание сосудов отсутствует
T2 - солитарное образование до 2 см в диаметре, прорастающее сосуды печени, или опухоль более 2 см без вовлечения сосудов
T3 - одиночная опухоль размером более 2 см или множественные мелкие опухоли, прорастающие сосуды и ограниченные одной долей
T4 - множественные очаги в обеих долях печени или одиночная опухоль с прорастанием печеночной или портальной вены либо висцеральной брюшины.
N0 - отсутствует поражение лимфоузлов гепатодуоденальной связки и ворот печени
N1 - определяются метастазы в лимфоузлы гепатодуоденальной связки либо ворот печени
M0 - отдаленные метастазы рака печени не определяются
M1 - выявляются метастазы рака печени в отдаленных органах.
Действия пациента
Своевременное обращение к врачу увеличит шансы благоприятного исхода.
Лечение рака печени
При первичном резектабельном раке печени показано комбинированное лечение, включающее резекцию печени (лобэктомию, атипичные резекции печени или гемигепатэктомию) в сочетании с курсом химиотерапии метотрексатом, 5-фторурацилом. Однако резекцию печени удается выполнить далеко не у всех пациентов. Критериями операбельности служат опухоль диаметром не более 3 см, не прорастающая в кровеносные сосуды; отсутствие цирроза печени. Послеоперационная летальность после резекции печени по поводу рака составляет 10%, главным образом, от развившейся печеночной недостаточности. В ряде случаев в специализированных центрах может быть предпринята трансплантация печени.
Хирургическое лечение метастатического рака печени возможно только при операбельности основой опухоли, наличии метастазов в одной из долей печени и отсутствии других внепеченочных очагов.
Химиотерапия с помощью цитостатических препаратов, как самостоятельный метод лечения, показана при неоперабельном раке печени. В этом случае наилучший эффект достигается при введении цитостатиков непосредственно в печеночную артерию. Лучевая терапия при раке печени используется нечасто ввиду своей невысокой эффективности.
Альтернативными методами лечения рака печени служат химиоэмболизация, радиочастотная термоабляция, чрескожное введение в опухоль этанола, протонная терапия.
Осложнения
После резекции печени по поводу первичного рака 5-летняя выживаемость невелика - всего 9-20%. При неоперабельном раке печени от момента установки диагноза до гибели пациента, как правило, проходит не более 4 месяцев. В случае метастатического рака печени прогноз также крайне неблагоприятный.
Профилактика рака печени
Профилактика рака печени включает иммунизацию широких слоев населения против вирусного гепатита В, отказ от злоупотребления алкоголем, соблюдение правил безопасности при работе с вредными химическими соединениями. При наличии хронического гепатита необходимо придерживаться рекомендаций гастроэнтеролога (гепатолога) и инфекциониста, соблюдать щадящий режим и диету, проходить диспансерный контроль.
Метастатический рак печени - лечение

