
Никак не прорежется зуб мудрости? Больно глотать? Опухла десна? Срочно обратитесь к врачу! Возможно у вас перикоронарит!
Все знают, что, когда у маленьких детей режутся молочные зубки, это может проходить довольно болезненно. Но прорезывание коренных зубов тоже способно вызывать дискомфортные ощущения. Мало того, прорезывание зуба может привести к возникновению воспалительного процесса в десне. В стоматологии такое воспаление десны называют перикоронаритом.
Когда зуб растет, он должен выйти из мягких тканей десны, другими словами, прорезать их. Как правило, это болезненный процесс, но, чаще всего, дискомфорт очень быстро проходит. Но иногда прорезывание зуба может проходить не просто с дискомфортными ощущениями, а и с осложнениями. Таким осложнением является воспаление тканей десны, окружающих прорезывающийся зуб, которое называется перикоронарит.
Чаще всего опасность воспаления десны возникает при прорезывании зубов мудрости. Особенно часто перикоронарит возникает при прорезывании зубов мудрости, расположенных на нижней челюсти.
Причины возникновения перикоронаритаНепосредственной причиной развития воспалительного процесса десны является нормальная микрофлора ротовой полости. Во время роста зуба, его часть остается покрытой слизистой оболочкой десны, которую в этом случае называют капюшоном. Между капюшоном и зубом появляется своеобразный карман. Туда попадают частички еды, таким образом, создаются благоприятные условия для развития бактерий. Тогда бактерии, которые обычно живут во рту, не причиняя нам неудобств, начинают размножаться слишком сильно и вызывают воспаление десны.
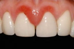
Симптомы перикоронаритаЕсли у вас растет зуб мудрости, при этом опухла десна, появился неприятный запах от зуба, и возникла боль, вероятно, у вас легкая форма перикоронарита. Но перикоронарит может протекать и достаточно остро. По мере усиления воспаления симптомы усиливаются.
К симптомам перикоронарита относятся:
- боль в область прорезывающегося зуба
- боль при глотании и при попытке открыть рот
- боль, отдающая в ухо, висок, челюсть
- неприятный запах изо рта
- отек десны
- появление гнойной жидкости при надавливании на капюшон десны.
При перикоронарите также может ощущаться общее недомогание, повышаться температура, на шее в прилегающих к челюсти областях могут увеличиваться лимфатические узлы.
Если не обращать внимания на эти симптомы, последствия могут быть очень серьезными. Без медицинского вмешательства перикоронарит может стать причиной развития надкостничного абсцесса, флегмоны и даже остеомелита. Поэтому, при появлении симптомов, характерных для перикоронарита обязательно обращайтесь к врачу.
Лечение перикоронарита
Характер лечения зависит от состояния больного и того, как протекает воспалительный процесс. Часто для устранения воспаления удаляют капюшон десны и обрабатывают карман специальными лекарствами. Это несложная процедура, при которой слизистая десны, нависающая над зубом, иссекается. Таким образом, убирается место для чрезмерного размножения микрофлоры и проблема решается. Проводят процедуру после обезболивающего укола в десну.
После удаления капюшона десны обычно назначаются антисептические ванночки. В некоторых случаях врач рекомендует также антибиотики.
Лечат перикоронарит и с помощью лазерной терапии. В этом случае на воспаленную десну воздействуют инфракрасным лучом. Лазерную терапию не разрешается применять при наличии онкологических заболеваний.
Одним из вариантов лечения перикоронарита является удаление прорезывающегося зуба. Этот вариант актуален для зубов мудрости.
Удаление рекомендуют:
- Если выясняется, что длина челюсти слишком мала и для нет места для нормального роста зуба. Выявить такую проблему поможет рентген.
- Когда зуб неправильно прорастает, например, в сторону щеки. Тогда он не будет принимать участие в процессе жевания, а значит, не несет функциональной нагрузки.
- Если уже нет зуба напротив, на другой челюсти. В этом случае зуб также не будет принимать участия в жевании.
- Если удаление капюшона десны неудобно из-за особенностей строения вашей ротовой полости.
Решать судьбу прорезывающегося зуба должен врач. Он обладает достаточным багажом знаний, чтобы принять правильное решение в вашей ситуации.
Следите за состоянием ротовой полости. Не допускайте заболеваний зубов и воспалений десен. А своевременное проведение гигиенических процедур ротовой полости поможет вам в этом.
Что такое гингивит и как его вылечить





