Пародонтоз
Пародонтоз (от греч. πᾰρά - находящийся рядом и όδυς, род. п. οδόντος - зуб) - системное поражение пародонта.

Причины возникновения пародонтоза
Причины пародонтоза до конца не изучены, заболевание является достаточно редким и встречается не более чем у 1-2% населения планеты. Существует мнение, что причиной развития пародонтоза служит генетический фактор, связанный с наследственностью. Нередко пародонтоз развивается на фоне других заболеваний, например, атеросклероза, нарушения работы желудочно-кишечного тракта, гиповитаминоза, сахарного диабета, изменений реактивности организма и пр.
Также возможной причиной пародонтоза может стать нарушение питания тканей пародонта, вследствие особенностей кровообращения в данной зоне (при атеросклеротических изменениях кровеносных сосудов парадонта).
Влияние местные факторов имеет большое значение, таких, как воздействие микроорганизмов, которые накапливающихся в зубном налете и камне, при механическом травмировании зубов, кариесе, неправильном или некачественном протезировании зубов, при реставрации нарушений целостности зуба. Существенно повышают вероятность развития заболевания несоблюдение правил гигиены полости рта или неправильное выполнение гигиенических процедур, искривление зубного ряда, нарушение прикуса, особенности питания, снижение общей иммунной защиты организма пациента.
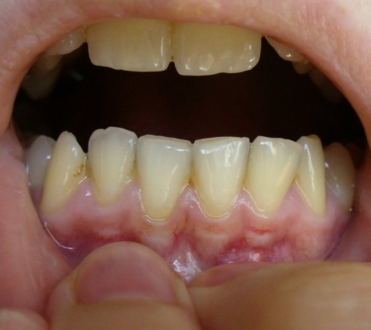
Симптомы пародонтоза
Основные симптомы пародонтоза:
- десны достаточно плотные;
- десны не воспалены и не кровоточат;
- зубы плотно сидят в кости, устойчивы и неподвижны;
- постепенное прогрессирующее оголение шеек и корней зубов (процесс может длиться десятилетиями);
- клиновидные дефекты эмали некоторых зубов;
- чувствительность зубов повышена.

Диагностика пародонтоза
Диагностические признаки пародонтоза:
- воспаление десен отсутствует;
- ретракция десны и обнажение шейки, а затем и корня зуба;
- десневых и пародонтальных карманы отсутствуют;
- микробный налет;
- отмечается устойчивость зубов даже при II-III степени снижения высоты межзубных перегородок;
- заболевание сердечно-сосудистой системы,
- эндокринные расстройства;
- расстройства обмена веществ.
Действия пациента
В случае если у вас имеются один или несколько из вышеперечисленных перечисленных симптомов, необходимо как можно скорее обратиться к врачу-стоматологу за квалифицированной помощью. Чем раньше будет выявлено заболевание, тем легче проводить лечение и более эффективным оно будет.
Лечение пародонтоза
Методы лечения пародонтоза во многом схожи с методами, которые применяются в целях лечения пародонтита. В начале лечения, необходимо устранить местные факторы развития болезни, а также избавится от общесоматических заболеваний. Главная, отличительная черта, заключается в том, что при пародонтозе не нужно бороться с бактериальной флорой пародонтальных карманов, потому медикаментозное лечение не всегда является необходимым. Также необходимость применения метода шинирования зубов при пародонтозе, возникает только на последних этапах развития болезни.
При пародонтозе необходимо особое внимание уделить вопросам снижения повышенной чувствительности зубов, применяя специальные методы реминерализирующей терапии, пломбирования клиновидных дефектов зубов, применение специальных паст и ополаскивателей предназначенных для индивидуального ухода за зубами.
Методы физиотерапии при лечении пародонтоза:
- электрофорез;
- КУФ-терапия (коротковолновое ультрафиолетовое излучение);
- ультразвуковая обработка зубов.
Физиотерапевтические методы лечения пародонтоза направленные на улучшение кровоснабжения тканей пародонта питательными веществами и кислородом, а также в целях стимуляции процессов регенерации.
Хирургическое лечение пародонтоза является наиболее эффективным.
Использование различных методик и техник, направленных на регенерацию тканей, применение специальных материалов - мембран, подсадочных материалов, дает ощутимый результат.
Осложнения пародонтоза
При своевременном и правильном лечении, возможно сохранить зубы и улучшить качество жизни. В случае запущенности пародонтоза, существует риск потерять зубы уже в молодом возрасте.
Профилактика пародонтоза
К основным методам профилактики пародонтоза принадлежат:
- правильный и регулярный уход за полостью рта;
- периодическое посещение врача-стоматолога в профилактических целях;
- ранняя диагностика пародонтоза;
- устранение системных заболеваний;
- отказаться от курения;
- регулярное употребление твердой пищи (яблоки, морковь);
- вместе с врачом-стоматологом подобрать зубную пасту, которая будет соответствовать потребностям ваших зубов.











