Перелом черепа - это травматическое нарушение анатомической целостности костей черепа. Данное состояние опасно для жизни, в первую очередь, из-за высокого риска повреждения тканей головного мозга. Переломы костей черепа в структуре всех переломов занимают около 10 %, в структуре тяжёлых черепно-мозговых травм - до 30%. Наиболее часто переломы черепа отмечаются у лиц молодого и среднего возраста (ввиду их активности), а также среди лиц из социально неблагополучных категорий (наркоманов, алкоголиков, преступников).
Причины возникновения

Люди молодого возраста более подвержены переломам черепа вследствие их большей активности (занятия спортом, работа на производстве, частые поездки на разного рода транспорте, нередко - занятия экстремальными видами спорта), в то время как социально неблагополучные люди чаще подвержены агрессии, криминальным нападениям и несчастным случаям в состоянии наркотического или алкогольного опьянения.
Симптомы перелома черепа
Визуально и на ощупь при переломах черепа могут определяться гематомы, открытые раны и деформации волосистой части головы. При этом возможна потеря сознания (кратковременная или даже кома - в зависимости от степени тяжести травмы), распирающая головная боль, тошнота и рвота, появление очаговой симптоматики - при развитии отёка мозга. При поражении черепно-мозговых нервов могут возникать нарушения чувствительности, параличи и парезы; при поражении ствола мозга - угнетение реакции зрачков на свет, дыхательные и гемодинамические нарушения.
Клиническими признаками перелома передней черепной ямки являются истечение ликвора с примесями крови из носа, кровоизлияния в подкожно-жировую клетчатку вокруг глаз (симптом «очков», симптом «панды»), которые могут сопровождаться экзофтальмом (выпучиванием глаз). Для перелома средней черепной ямки характерно образование гематомы на задней стенке глотки и истечение ликвора из слуховых проходов. Переломы задней черепной ямки сопровождается тяжёлыми расстройствами кровообращения и дыхания, а также кровоподтёками в области сосцевидного отростка, расположенного за ухом.

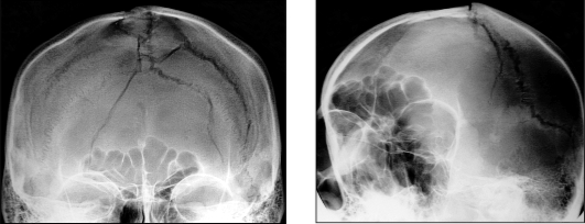
Диагностика
Кроме неврологического обследования, больным с подозрением на перелом черепа проводят обзорную рентгенографию черепа в двух проекциях, КТ и МРТ головы.

Виды заболевания
В зависимости от локализации повреждения различают переломы лицевого и переломы мозгового черепа. Последние, в свою очередь, подразделяются на переломы основания (около 4%) и переломы свода черепа. Переломы основания черепа разделяют на переломы передней, средней или задней черепной ямки. Переломы также могут быть множественными и затрагивать все вышеперечисленные структуры черепа.
Выделяют следующие виды переломов черепа:
·линейные (тонкая линия перелома, без смещений костных фрагментов) - наименее опасные, редко сопровождаются потерей сознания;
·вдавленные (происходит вдавление кости черепа в черепную коробку) - могут приводить к ушибам, повреждениям и размозжению мозгового вещества, повреждениям сосудов и оболочек мозга, к образованию внутричерепных гематом;
·оскольчатые (переломы костей черепа с образованием нескольких фрагментов - осколков) - так же, как и вдавленные переломы, могут повреждать все структуры черепной коробки;
·дырчатые (пробоины) - самые тяжёлые, чаще смертельные, как правило, огнестрельные переломы черепа с повреждением головного мозга.
Действия пациента
При любой травме головы или падении с высоты необходимо срочно обратиться за квалифицированной помощью.
Лечение перелома черепа
Все больные с переломом черепа подлежат госпитализации. Консервативная терапия проводится при закрытых переломах свода черепа, ушибе и сотрясении головного мозга, при неосложнённых переломах основания черепа. При этом проводят дегидратационную, обезболивающую и антибиотикотерапию. При переломах основания черепа проводят люмбальные пункции. Также в медикаментозной терапии применяют ноотропные и вазотропные лекарственные средства, противовоспалительные и метаболические препараты.
В тяжёлых случаях (в том числе при вдавленных переломах) может потребоваться хирургическое лечение.
Осложнения
Перелом черепа может сопровождаться гнойными осложнениями (менингитами и энцефалитами), развитием внутричерепных гематом, сдавлением мозга, поражением черепно-мозговых нервов с характерной очаговой симптоматикой и даже летальным исходом.
Профилактика перелома черепа
Придерживайтесь правил техники безопасности на производстве, избегайте пребывания в агрессивном обществе, особенно в состоянии алкогольного или наркотического опьянения.
Основные признаки черепно-мозговой травмы








