Инфильтративный туберкулёз

Причины возникновения
Туберкулёз - инфекционное заболевание, возбудителем которого является микроорганизм Mycobacterium tuberculosis complex (микобактерии туберкулеза). Данная бактерия может проникать в организм человека алиментарным, аэрогенным или контактным путём. Однако зачастую одного лишь проникновения возбудителя недостаточно для того, чтобы заболеть туберкулёзом. Для развития заболевания необходимо наличие дополнительных факторов, среди которых:
- сниженный иммунитет;
- наличие хронических воспалительных заболеваний;
- ослабленность организма вследствие эндокринных причин;
- частые стрессы;
- недостаточное питание;
- алкоголизм.
Инфильтративный туберкулёз возникает вследствие прогрессирования очагового туберкулёза лёгких, то есть является его вторичной формой. Он возникает при появлении свежей быстрорастущей зоны инфильтрации вокруг старого очага.
Симптомы инфильтративного туберкулёза
Для инфильтративной формы туберкулёза лёгких характерны общие симптомы туберкулёза, а это в первую очередь:
- повышенная утомляемость;
- слабость;
- потеря аппетита;
- периодическое повышение температуры тела.
Однако при развитии инфильтрата возникают признаки сильной интоксикации организма, и появляется влажный кашель. В некоторых случаях в отделяемом из лёгких может обнаруживаться кровь (кровохарканье). При усугублении патологического процесса и вовлечении в него плевры возможно появление болей в грудной клетке, которые усиливаются при совершении дыхательных движений.
Диагностика

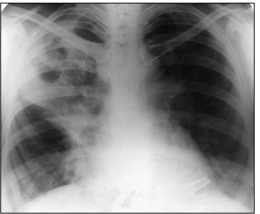
Диагностика инфильтративного туберкулёза включает в себя сбор анамнеза, физикальное обследование, анализ крови и рентгенологическое обследование. При проведении аускультации, как правило, характерные изменения можно определить лишь на стадии распада инфильтрата. При этом обнаруживается притупление перкуторного звука в области поражения, а также влажные и звучные хрипы. При помощи рентгенологического обследования определяется локализация инфильтрата (наиболее часто это I, II и VI сегменты). При проведении анализа крови обнаруживается незначительный сдвиг в лейкоцитарной формуле и небольшое ускорение СОЭ.
Виды заболевания
Инфильтративный туберкулёз бывает двух вариантов течения - инволютивный и прогрессирующий.
Инволютивное течение инфильтративного туберкулёза характеризуется исчезновением бактерией из отделяемого лёгких в первые три месяца, быстрым исчезновением симптомов и полным восстановлением поражённой лёгочной ткани в течение 90 дней.
При прогрессирующем варианте течения распад ткани лёгкого и образование негативных изменений происходит быстро, а процесс выздоровления длителен. Также для этого типа инфильтративного туберкулёза характерно мнимое выздоравливание.
Кроме того, инфильтративный туберкулёз классифицируется по типу и локализации инфильтрата. Различают следующие виды инфильтратов:
- бронхолобулярный инфильтрат - располагается в I или II сегменте верхней доли лёгкого, имеет неправильную округлую форму, его диаметр равен 1-3 см;
- округлый инфильтрат - обладает округлой овальной формой, располагается в I-II или VI сегменте;
- облаковидный инфильтрат - затемнение неравномерной формы с расплывчатыми контурами;
- лобит - воспалительный процесс во всём лёгком с множественными казеозными очагами;
- перисциссурит - представляет собой облаковидный инфильтрат, который располагается возле междолевой борозды.
Действия пациента
При обнаружении у себя симптомов, описанных в соответствующем разделе, настоятельно рекомендуется обратиться к специалисту (фтизиатру). Важно начать лечение как можно раньше и не допустить ухудшения воспалительного процесса и развития осложнений.
Лечение инфильтративного туберкулёза
Лечение туберкулеза проводится в условиях стационара. Применяются антибактериальные лекарственные средства первого ряда и противотуберкулёзные препараты (изониазид, рифампицин, этамбутанол). Приём препаратов осуществляется до полного рассасывания инфильтративных образований. Также проводится патогенетическая терапия. В некоторых случаях (при распаде инфильтрата) применяется методика искусственного пневмоторакса (коллапсотерапия). В редких случаях может проводиться хирургическое вмешательство.
Осложнения
Осложнением инфильтративного туберкулёза может стать казеозная пневмония, пневмоторакс, ателектаз, туберкулёзный менингит или плеврит.

Профилактика инфильтративного туберкулёза
Специфической профилактикой туберкулёза является вакцинация БЦЖ.
Также в качестве профилактики рекомендуется избегать контактов с больными туберкулёзом, а в случае необходимости данных контактов применять меры химиопрофилактики.







